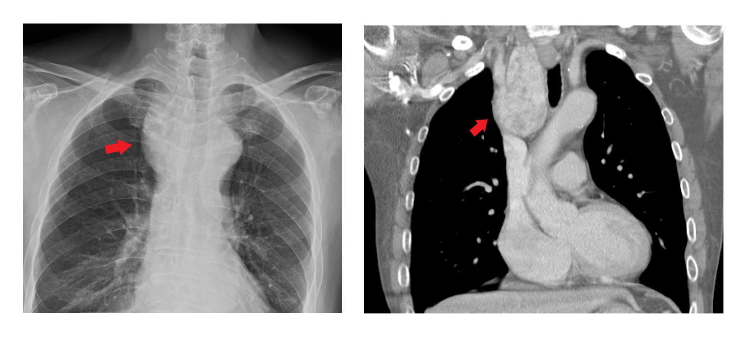
一位年約60歲的男性長期有胸悶與呼吸不順的困擾,平躺時更感覺「吸不到空氣」,就醫後透過胸部X光檢查發現氣管右側有疑似腫塊陰影,並造成局部氣管偏移中線。進一步電腦斷層掃描發現一顆由甲狀腺右葉一路延伸進入到胸腔內,約為9×5公分如鵝蛋般大小的腫大結節,已明顯壓迫氣管,建議手術切除。原被評估需切開胸骨才能切除,但患者擔憂術後疼痛影響生活,經親友介紹轉診至聯新國際醫院甲狀腺外科醫師林晏甥門診,後續僅透過前頸部切口就將腫塊完整移除,病患術後第二天即出院,目前恢復狀況良好。

聯新國際醫院表示,林晏甥評估結節並未超過氣管分叉處,無須切開胸骨,透過前頸部切口就可將腫塊完整移除,讓該病患術後第二天得以出院,一周後回診病理報告為良性,且因切除的是增生組織,對甲狀腺功能無影響,同時原本胸悶與平躺時呼吸困難的症狀也完全改善。

林晏甥指出,甲狀腺結節是甲狀腺內部形成的異常組織腫塊,台灣成人盛行率高達40%以上,幸好超過9成以上都是良性的。大多數結節位於頸部,但少部分會向下延伸至胸骨後方甚至胸腔內,當結節體積有超過50%位於胸腔,即稱為「胸骨後甲狀腺結節腫大」或「縱膈腔甲狀腺結節」,約占所有甲狀腺手術的3%至17%。

林晏甥提到,針對一般良性且無壓迫症狀的甲狀腺結節,主要是以超音波與細針穿刺細胞學檢查,由於胸骨後甲狀腺結節腫大位在胸腔內難以用超音波偵測,因此常在有壓迫症狀時才被發現。常見症狀包括呼吸困難、吞咽異物感、聲音嘶啞、慢性咳嗽或喘鳴聲。他進一步提到,一旦有這些症狀,應儘早就醫檢查,可經由胸部X光及電腦斷層檢查確定診斷。對於胸骨後甲狀腺結節腫大的首選治療方式仍為手術,不僅能緩解壓迫、改善症狀,也能降低惡性變化的風險。
甲狀腺結節目前尚無預防方法,林晏甥提醒,民眾可於日常梳妝或洗臉時透過鏡子觀察頸部是否有單側腫大,或透過年度健康檢查加入頸部超音波檢查,提早發現異常。一旦發現結節,即使經檢查確認為良性,也應持續定期追蹤。若出現聲音沙啞或是吃流質的食物容易嗆咳等異常,亦應提高警覺,及早就醫。
林晏甥強調,雖然甲狀腺結節惡化為甲狀腺乳突癌或濾泡細胞癌的機率極低,致死率更低,但仍應謹慎對待,定期追蹤與早期介入治療。對於結節,民眾無須過度恐慌,但也不可輕忽結節可能帶來的壓迫症狀與潛在惡化風險。
本文章來自《桃園電子報》。原文:「鵝蛋大」甲狀腺結節壓迫氣管 聯新國際醫院助他恢復呼吸順暢
