在醫院放射科檢查室裡,最常遇到病人提出的問題就是「到底是乳房超音波還是乳房X光攝影比較準確?」,台北榮民總醫院桃園分院放射科放射師常珮雲表示,這沒有一定的答案。因為要考慮受檢者的年齡、是否有乳房或婦科病灶相關病史、是否有觸摸得到的乳房腫塊、是否有植入物(如隆乳)等,這些都是會增加乳房疾病的危險因子。

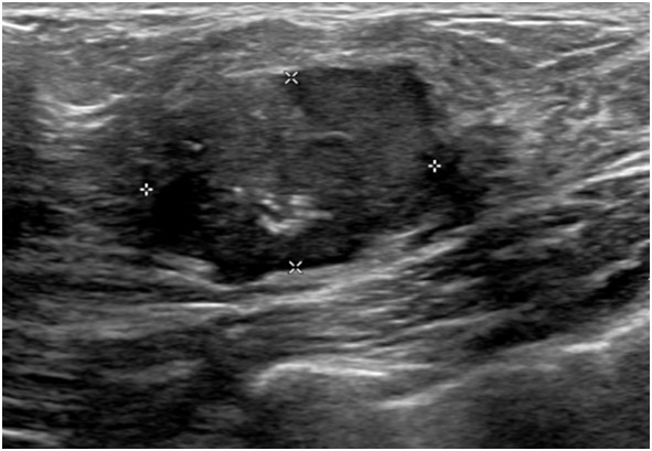
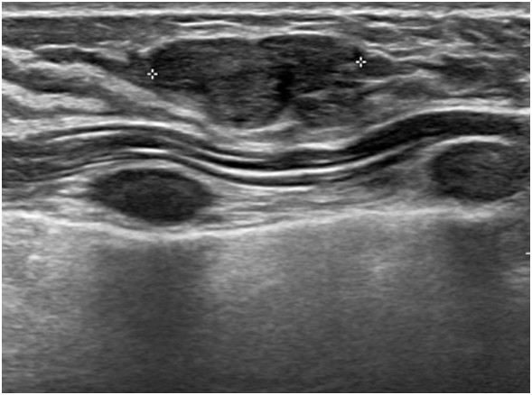
常珮雲說,乳房超音波可發現許多良性的病兆,例如纖維腺瘤、纖維囊腫、脂肪瘤、淋巴結腫大、鈣化、隆乳的植入物是否滲漏或術後導致的乳房結構異常等。且因乳房超音波沒有輻射,因此某些族群非常適合做這項檢查,簡述如下:

1.懷孕婦女、哺乳婦女(經常發現乳腺發炎及乳汁化膿現象)。
2.超音波適用於年輕女性,因為年輕女性乳腺較緻密發達,若用於乳房攝影時影像上緻密的乳腺及病灶顏色會相近,較難以區分判讀;但若於超音波有發現病灶且須進一步追蹤時,還是需要加照乳房攝影做參考比對。
3.隆乳女性的術後追蹤,有擔心植入物破裂的疑慮存在時,超音波就會是較佳的選擇。
4.但因超音波無法發現微小鈣化點,也無法提供全幅的乳房影像,所以有時會同時利用乳房超音波與乳房X光攝影進行檢查,可以互補彼此之不足,是最安全的做法。

北榮桃分院長盧星華院長民眾,乳房X光攝影與乳房超音波檢查各有所長,各自適合使用在不同的體質及疾病診斷上,彼此互補、相輔相成。至於到底自身狀況應適合那項檢查,建議至醫療院所就醫,聽取醫師專業意見,由醫師為您進行最妥適安排。
The post 乳房超音波或X光檢查哪個精確?北榮桃分院放射師來解析 appeared first on 桃園電子報.