
【今傳媒/記者李祖東報導】「我右邊腳踝疼痛腫脹已經很長的一段時間,一開始吃藥還可以改善,但時間一久連吃藥都沒有用了。每次只要一走路就非常痛,痛到讓我每次都只能走幾步而已」,吳女士本身是類風濕性關節炎的病患,身上多處關節或多或少都有疼痛或變形的問題,來到高雄醫學大學附設中和紀念醫院骨科部求診主要是因為右踝疼痛難耐。經X光與理學檢查後,發現病患除了扁平足的問題外,最主要是嚴重的踝關節退化性關節炎;通常嚴重踝關節退化性關節炎的手術治療方式有兩種: 踝關節融合手術及全踝關節置換手術。但因類風濕性關節炎,又同時有扁平足的問題,有日後多個關節退化需關節融合的可能,若此時進行踝關節融合手術,恐怕加速周邊關節的退化,況且病患強烈希望保有踝關節活動度,因此最後為她施行了全踝關節置換手術。術後病人活動良好,半年後就快樂地與家人外出露營旅遊。
高雄醫學大學附設中和紀念醫院黃炫迪副院長表示,下肢是身體承受重量的重要結構,一旦發生關節炎,產生疼痛,就會行走困難、影響日常功能。而髖關節、膝關節及踝關節是下肢三大關節,目前臨床上,因關節炎而進行人工髖關節置換手術或人工膝關節置換手術是為主流且十分常見,相較之下,全踝關節置換手術用於嚴重踝關節炎的病人,是近20年才開始的,但隨著人工關節設計的改良,這幾年開始漸漸為醫師與病患所選擇。目前高醫體系所使用的人工踝關節是屬於第四代,也是相對而言較新一代的人工踝關節。
高雄醫學大學附設中和紀念醫院骨科部,同時也是台灣骨科足踝醫學會理事陳姝蓉主治醫師表示,踝關節退化性關節炎不像髖關節或膝關節退化性關節炎是因年紀增長或過度使用所造成的,多數是因外傷造成的,如踝關節骨折或脫臼、踝韌帶損傷或長期踝關節不穩定等。其臨床表現多為踝關節腫脹變形、關節活動度受限、走路或蹲踞時疼痛等。對於輕微踝關節炎的病人,醫師可以給予關節炎藥物與輔具,來減輕病患症狀;針對嚴重踝關節關節炎的病人,則需採取手術治療的方式,主要有兩種: 踝關節融合術及人工全踝關節置換手術。
陳姝蓉主治醫師進一步談到,踝關節融合手術一直以來都是治療嚴重踝關節炎的黃金標準。病人只要周圍關節功能良好、可進行代償,且具有正常神經肌肉功能,骨癒合後就可以近乎正常的行走,疼痛改善且日常功能良好。但即使如此,踝關節融合術還是有其受限之處,例如上下陡坡或樓梯時需改變步態;快跑或快走困難,姿勢改變;或當兩腳皆踝關節退化需關節融合時,病人會蹲踞困難。除此之外,踝關節融合之病人術後仍能功能良好的原因,是因為周圍關節能進行代償,因此,周圍關節因過度使用而提早產生退化性關節炎是無法避免的結果,據文獻報導,約有近100%的機率,於踝關節融合術後22年,產生周邊關節退化的現象。
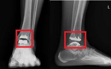
這20幾年來,足踝專科醫師嘗試藉由全踝人工關節來保留踝關節活動度,希望可以改善周遭關節提早退化的現象,並增進日常功能的表現。全球的全人工踝關節至少有超過十種不同的設計,目前已進展到第四代。其設計為三件式,為脛骨與距骨金屬組件加上墊片,而目前使用的墊片是超高分子量聚乙烯來降低其耗損。全人工踝關節在超過10年的追蹤,仍有超過8成的良好預後,目前全人工踝關節已躍升成為嚴重踝關節炎病人的另一治療選項。
陳姝蓉主治醫師提醒,因全人工踝關節置換手術的大幅發展是近20年內的事,在台灣也較少醫師有相關經驗;所以,計畫進行此手術時,建議要找有經驗的足踝骨科醫師加以執行,以降低出錯的機率。

