
台銘新聞/史家羚報導
近七旬的張翁平日不菸不酒,農曆年前作東宴請昔日退休同事,眾人起鬨他半瓶金門高粱打通關,餐後還到咖啡館續攤,散會返家後因為劇烈腹痛腹脹、噁心嘔吐,半夜到阮綜合醫院就診,斷層檢視造成自發性食道撕裂傷併膿胸 。
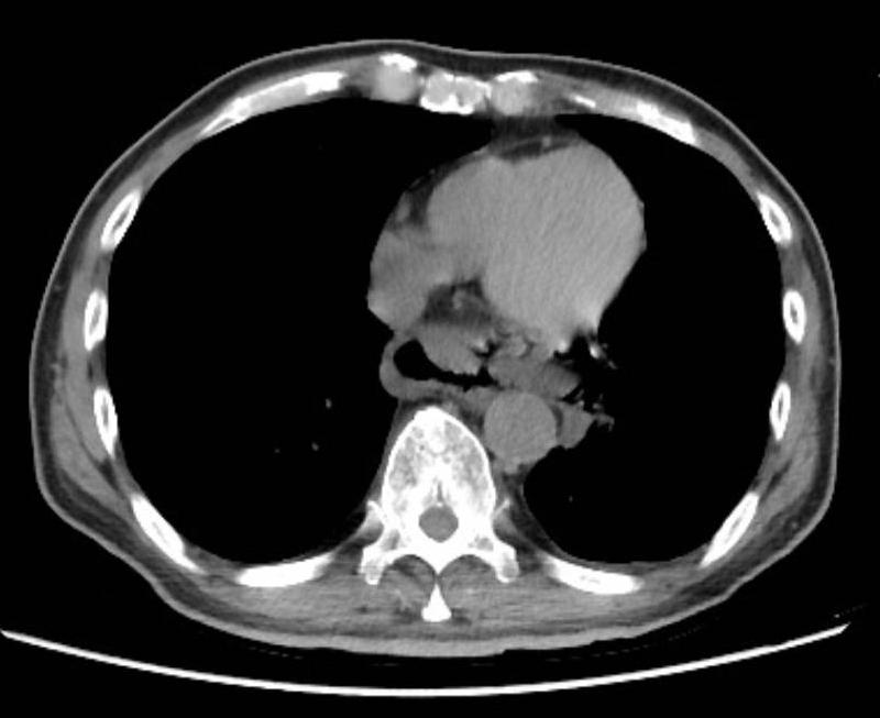
胸腔外科主任林鴻生指出,經電腦斷層(CT)檢查發現胃部因大量食物明顯脹大,併有遠端食道擴張,隔天胸部及上腹部持續疼痛,CT檢查又發現氣縱膈及雙側肋膜積水,胃極度脹大,診斷為「自發性食道破裂及左側膿胸」,由於情況危急,立即進行手術修補食道撕裂傷,並去除左側胸腔外漏食物殘渣,還作空腸造口,術後轉加護病房治療觀察。
老張在加護病房期間接受抗生素治療膿胸及縱膈腔炎,並以空腸造口灌食提供營養。經過三周積極治療下病況逐漸穩定好轉,移除呼吸器後轉一般病房治療照護一周後順利康復出院。(圖片說明:CT顯示遠端食道裂傷。

林鴻生醫師解釋:酒精最容易對胃粘膜和蠕動造成刺激,使胃部膨脹、引起嘔吐,這時腹部壓力突然上升、喉嚨緊縮、食道壓力遽增,嚴重情況下,胃與食道交接處在此瞬間會被嘔吐物撐大擴張,造成出血,程度不同的食道撕裂傷、黏膜灼傷,若未及時治療,可能因為食物、胃液積聚胸腔內而引起發炎導致敗血性休克,危及性命。
林鴻生醫師指出:年齡愈長,新陳代謝率愈低,酒量隨著變小,退酒速度也變慢,胃蠕動功能變差,老張原有糖尿病,平日不菸不酒,此時酒精對他身體的刺激影響就更大,半瓶高粱酒後又續攤喝咖啡,此時的咖啡因會刺激血管擴張,加快血液循環,增加心血管負擔,對患有糖尿病者會引起血糖波動,飲酒後一小時內接著喝咖啡,傷害會比只喝酒還大。
林鴻生醫師強調:「食道破裂」較多是作胃鏡、食道鏡等侵入性檢查時造成的,像老張這種「自發性食道破裂」事實上很少見,而且都是發生在大吃大喝並飲酒後嘔吐的情況下。
自發性食道破裂若延誤治療,患者會因食物、胃液積聚胸腔內,引起嚴重發炎造成敗血症的可能,死亡率極高。民眾在大量進食飲酒後嘔吐,感到腹痛腹脹、胸口不適時,就應該盡早就醫,把握治療時機。當然,主要還是節制飲食及酒量,以避免腹脹嘔吐造成疾病傷害。
林鴻生現職:胸腔外科主任。學歷:國立陽明大學醫學系畢業
經歷:高雄榮民總醫院胸腔外科主治醫師、胸腔及心臟血管外科醫學會會員、胸腔暨重症加護醫學會會員;專長:胸腔鏡手術、胸部腫瘤、肺癌、食道癌治療、胸部外傷。
