記者季大仁/新竹報導

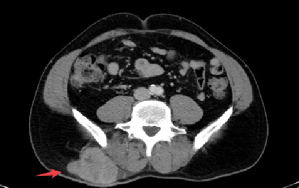
65歲W先生偶然在右下背摸到一個不痛不癢的小腫塊,原想著過些時日再去醫院掛號做檢查,沒想到這個小腫塊卻迅速長大,三個月內像吹汽球似的長到了7公分大,到新竹臺大分院新竹醫院就診,經檢查診斷是惡性軟組織肉瘤。
新竹臺大分院整形外科張晏誠醫師說明,惡性軟組織肉瘤是癌症的一種,約佔所有癌症診斷的 1%,算是一種較少見的癌症。惡性軟組織肉瘤一開始最常表現為四肢或軀幹的增大、無痛的腫塊,最常被診斷於50-60歲左右,男性稍多於女性。在初步診斷時出現遠端轉移的情況並不常見,但在大型、深部的肉瘤中就有可能發生,而大約有80%的轉移發生在肺部。
張醫師表示,惡性軟組織肉瘤在初期可能沒有特定的症狀,直到腫瘤增大並對周圍組織造成侵犯或壓迫,才可能引發神經疼痛或器官受壓症狀。此時,腫瘤體積通常已經相當巨大,使得手術難以完全切除,造成治療上的挑戰。一般而言,約有50%的惡性軟組織肉瘤發生在四肢,20%生長在軀幹,另外約有9%生長在頭頸部。針對惡性軟組織肉瘤的治療原則,主要是以手術切除為主,手術後可能需要進行輔助性放射治療以增強治療效果。若腫瘤發生在四肢部位,通常較容易實現完整切除,但如果腫瘤體積過大,或位於難以完全清除的區域,則可考慮先行輔助性化學治療以縮小腫瘤體積,之後再進行手術切除。
更多新聞推薦
