
【記者 彭姿穎/桃園 報導】一名60歲男子長期受胸悶與呼吸困難困擾,平躺時甚至感覺「吸不到空氣」。檢查發現,他的甲狀腺右葉長出如鵝蛋般、約9×5公分的巨大結節,一路延伸到胸腔並壓迫氣管。原本被建議需切開胸骨手術,經轉診至聯新國際醫院,醫師評估後僅透過前頸部切口即完整切除腫塊,術後第二天出院,病理結果為良性,呼吸不順的症狀也完全改善。
原被評估需切開胸骨才能切除,但患者擔憂術後疼痛影響生活,經親友介紹轉診至聯新國際醫院甲狀腺外科林晏甥醫師門診。林醫師評估結節並未超過氣管分叉處,無須切開胸骨,僅透過前頸部切口就將腫塊完整移除,病患術後第二天即出院,一週後回診病理報告為良性,且因切除的是增生組織,對甲狀腺功能無影響,同時原本胸悶與平躺時呼吸困難的症狀也紓緩。
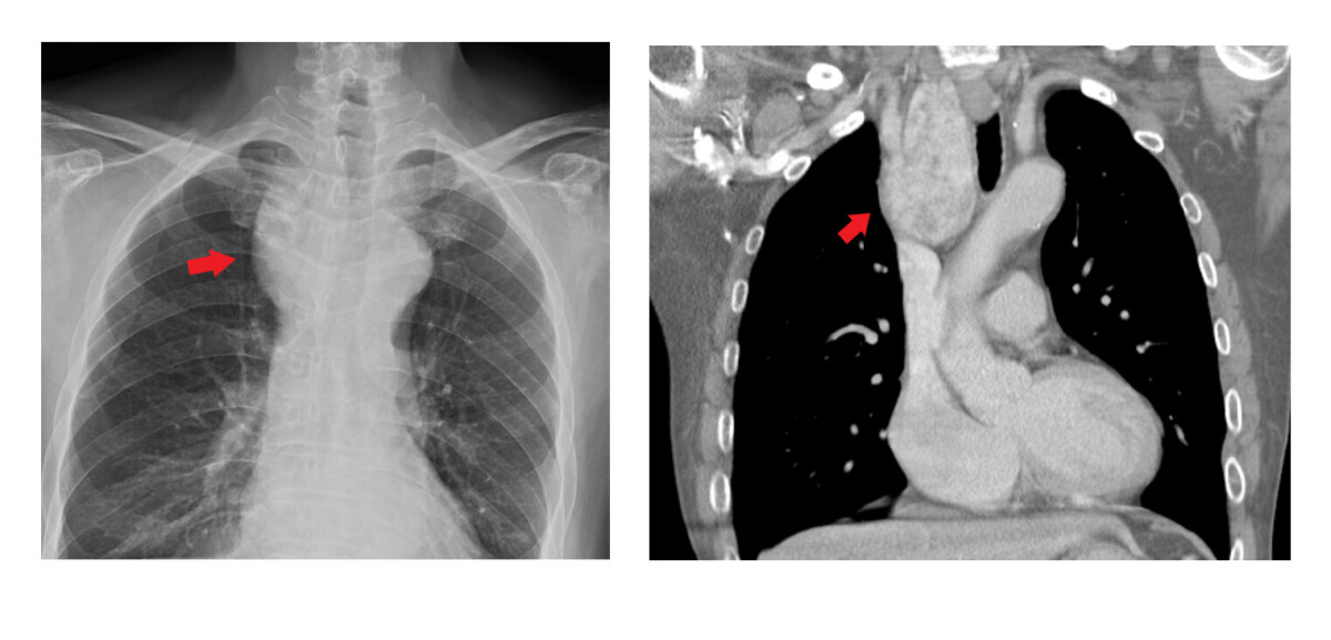
▲左圖為胸部X光,右圖為電腦斷層顯示甲狀腺結節是甲狀腺內部形成的異常組織腫塊,台灣成人盛行率高達40%以上,幸好超過九成以上都是良性的。林晏甥指出,大多數結節位於頸部,但少部分會向下延伸至胸骨後方甚至胸腔內,當結節體積有超過50%位於胸腔,即稱為「胸骨後甲狀腺結節腫大」或「縱膈腔甲狀腺結節」,約占所有甲狀腺手術的3%至17%。
針對一般良性且無壓迫症狀的甲狀腺結節,主要是以超音波與細針穿刺細胞學檢查,由於胸骨後甲狀腺結節腫大位在胸腔內難以用超音波偵測,因此常在有壓迫症狀時才被發現。常見症狀包括呼吸困難、吞咽異物感、聲音嘶啞、慢性咳嗽或喘鳴聲。林晏甥指出,一旦有這些症狀,應儘早就醫檢查,可經由胸部X光及電腦斷層檢查確定診斷。對於胸骨後甲狀腺結節腫大的首選治療方式仍為手術,不僅能緩解壓迫、改善症狀,也能降低惡性變化的風險。
甲狀腺結節目前尚無預防方法,林晏甥提醒民眾可於日常梳妝或洗臉時透過鏡子觀察頸部是否有單側腫大,或透過年度健康檢查加入頸部超音波檢查,提早發現異常。一旦發現結節,即使經檢查確認為良性,也應持續定期追蹤。若出現聲音沙啞或是吃流質的食物容易嗆咳等異常,亦應提高警覺,及早就醫。
雖然甲狀腺結節惡化為甲狀腺乳突癌或濾泡細胞癌的機率極低,致死率更低,但仍應謹慎對待,定期追蹤與早期介入治療。林晏甥強調,對於結節,民眾無須過度恐慌,但也不可輕忽結節可能帶來的壓迫症狀與潛在惡化風險。(照片:聯新國際醫院提供)
